Bio / Chem 330 - Transformations troubleshooting


These experiments began with amplifying C. elegans gene fragments by PCR, followed by TOPO-TA cloning, as we performed in our first cloning project.

Transformations were performed and cells plated on LB/spectinomycin. The next day, selected transformant colonies were respread, and then overnight cultures from isolated colonies of those respreads were performed. DNA was purified and quantified for EcoRI digests. But something odd happened with some of the clones. Your task is to figure out what likely went wrong based on the observations presented, and experiments performed subsequently.

Some transformations yielded colonies that when respread, cultured, and plasmid DNA purified gave the expected result - plenty of plasmid DNA. Others did not. To find out what happened, we investigated further.

Nine different clones from transformation respreads by various students were grown as overnight cultures, and DNA purified by a plasmid miniprep. The results from these fell into two distinct classes (designated category A and B). DNA concentrations for the two categories are shown at right.

 

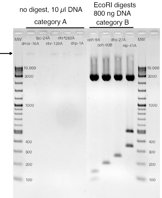
Run on a gel, the DNAs appear as shown at right. As indicated above the gel photo, 800 ng of category B DNAs (all from different cloning reactions) were digested with EcoRI to test for the presence of an insert in the vector - the expected result. Some category A DNA (not digested) was run simply to examine its nature. The arrow shows that category A DNA.

Question - what could this DNA be, given its molecular weight? [Note that one often sees DNA like this in a plasmid miniprep, as an undesired contaminant.]

[MW - molecular weight marker is NEB 2-log ladder.]

 

 

 

 

 

 

 

Going back to examine the bacterial respread and transformation plates, we observed the following - all category A clones have the appearance on the right in respreads; category B clones look like those on the left.

 

 

 

 

 

 

 

 

Another item of note. For the original transformation plates, we spread three plates with either 10 µl, 50 µl or 200 µl of the 'transformation mix.' Recall also that we used 50 µl of additional SOC to assist spreading the 10 µl transformation plates. Below left is a 50 µl transformation plate next to a 10 µl plate from the same transformation. [The 50 µl plate yielded 'category B' clones; in this case, no colonies were respread from the 10 µl plate.]

Many transformation plates were essentially lawns, including some 10 µl plates (below, far right). Respreads from such plates yielded only category A DNAs. Most of the transformations yielding category A type clones came from the same lab bench at which students may have shared tubes of SOC used in the transformation recovery / outgrowth step and in spreading transformations on plates.

Closeup of a less dense transformation plate is shown at right. Respreads from this plate had the same appearance as the category A respread plate above, and yielded category A type DNA.

 

 

 

 

 

 

Closer view of above plate. To test a hypothesis, specific colonies (like those indicated by the white arrows at right) were selected from three different 'category A' transformation plates.

 

 

 

 

 

 

 

Four colonies with the appearance shown above (the arrows) from transformation plates for each candidate ceh-9, nhr-129, and sfrp-1 clones, were selected and cultured (and designated clones C - F). When such colonies were grown, plasmid miniprep DNA prepared, and EcoRI digests performed, the results were as shown in the gel at right. Expected insert sizes for ceh-9: 441 bp, nhr-129: 233 bp, and sfrp-1: 259 bp.

From all this information, one should be able to make a reasonable guess about what went wrong with the transformations and respreads that yielded 'category A' DNAs.

Questions: 1) What (puzzling) observation made of the transformation plates of some experimenters should have alerted them to a likely problem even before performing any respreads?

2) What simple step (or check) could be taken to avoid the problem that occurred in this cloning experiment? [Given the likely reason for the problem.]

3) What additional interesting observation could one make about the category A bacteria?